Cowellmedi
Implant Solutions
Driven by Purpose. Proven by Science.
INNO Implant System
INNO Submerged
- INNO Submerged Fixture
- 즉시 식립·즉시 부하·식립 깊이 조절 및 상악동 등 다양한 증례에 대응하도록 개발된 코웰메디의 Flagship 임플란트입니다.
Design Concept Overview
코웰메디만 기술력, 독창적인 디자인 안에 숨어있습니다.
- 지대주와 픽스처 간 최적의 Cold Welding 구현
- 지대주 미세 침하 방지
- 미세 움직임 감소 및 응력 균등 분배
- Type: Submerged
- Surface Treatment: HydroX7
- Connection: Morse-Tapered Internal Hexagon (11° Taper, Hex 2.5)
- Material: Unalloyed Titanium Gr4 (ASTM F67)
- 피질골의 압박 괴사 방지
- 카운터싱크 드릴링 필요성 최소화
- 두께 보강을 통한 기계적 강도 향상
- 골질이 좋지 않은 환경에서도 탁월한 초기 고정력 제공
- 단 2~4회전만으로 절반 이상 깊이의 식립 가능
- 최소한의 회전으로 Wedge-Effect 안정성 확보
- 5mm 이상의 초기 식립 깊이와 효율적인 결합으로 식립 시간 단축
- 골-임플란트 계면에서의 골막 통합
- 미세 틈새를 최소화하여 미세누출을 줄이고 염증 예방
- 추가 드릴링 없이 더 깊은 식립 가능
- Bone heating 발생 위험 감소
- 골 대체재 방해 없이 식립 깊이 쉽게 조절 가능
- Bone Chips를 효과적으로 수용
- 미세 틈새를 최소화하여 날카로운 윤곽으로
Self-Tapping 효율성 향상 줄이고 염증 예방 - 더 높은 초기 안정성과 함께 더욱 부드러운 식립 가능
- 상악동 거상술 시 Schneiderian membrane 보호
- 날카로운 윤곽으로 Self-Tapping 효율성 향상
- 더 높은 초기 안정성과 함께 더욱 부드러운 식립 가능
Design Rationale
임상 성능을 최우선으로 고려한 코웰메디만의 임플란트 설계입니다.
압박 괴사 방지를 위한
치조능선에 대한 수동 고정
변연골 소실 방지를 위한
지대주를 이용한 플랫폼 변환
소와(Socket)에 최대한의
고정을 위한 골 응축 홈
빠르고 부드러운 임플란트 식립을
위한 이중 나사산 및 절삭날
- 왜 Platform Neck 인가? Platform Neck
-
- 보통 뼈에서의 알맞은 고정
- 압박 괴사 방지를 위한 치조능선에서의 알맞은 고정
- 상악동 골에서의 안전한 임플란트 식립 및 변연골 보존
- 왜 Tapered Body 인가? Tapered Body
-
- 발치와에서 접촉면적을 더 넓게 하기 위해
- 힐링 어버트먼트를 위한 높은 고정력
- 성공적인 골이식, 골수 보존을 위해
- 발치와에서 Straight Implant 보다 20% 높은 초기 고정력
- 왜 Double Tapered
Thread 인가? Double Tapered Thread -
- 치조와 또는 골질이 약한 부위에도 안정적인 초기 고정을 제공
- 드릴로 형성한 구멍에 임플란트 길이의 절반만 삽입하고 2~4회 회전만으로 식립 완료
- 추가로 반 바퀴만 돌려도 쐐기 작용을 통해 기본 안정성을 확보합니다.
- 이미 삽입된 깊이가 5mm 더 깊어져, 식립 시간을 단축합니다.
부드러운 식립
INNO Submerged
26.2Ncm
- D2 Bone 테스트 뼈 블록
- 깊이 5mm 지점까지 식립
Other Implant
29.2Ncm
확실한 고정방식
INNO Submerged
44Ncm
- D2 Bone 테스트 뼈 블록
- 5.5mm 깊이 구멍
Other Implant
38Ncm
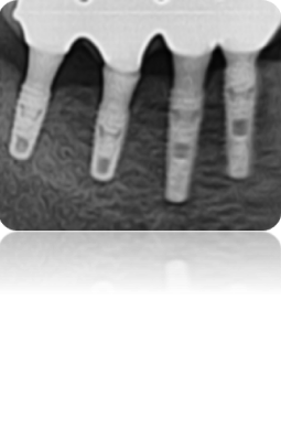
변연골 소실 최소화
- 평균 관촬 기간: 13.4 months
- 평균 변연골 소실량 : 0.027± 0.0138 mm (총 144개 임플란트)
INNO Submerged
INNO 임플란트 144개 평균 변연골 소실
0.027 ± 0.0138 mm
Other Implant
1년 평균 변연골 소실
0.21 ~ 0.99 mm
Atieh et al.(2010)의 검토에 따르면 1년 추적 관찰
기간 동안 플랫폼 전환 임플란트 주변의 평균
변연골 소실은 0.021~0.99mm였습니다.
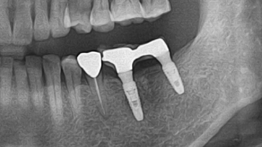
Clinical Cases
Video
Line Up
환경에 맞춰 쓸 수 있는 코웰메디의 다양한 라인업 입니다.

