

2차 수술 불필요!
다른 부위에서 뼈를 채취하기 위해 별도의 수술이 불필요 합니다.

식약처로부터 승인 받은 안전성이 검증된 제품!
식약처에서 승인한 안전한 성분과 확실한 효과를 보장합니다.

튼튼한 잇몸뼈 형성으로 높은 성공률!
단단한 양질의 뼈가 임플란트의 고정률을 높여 성공적인 수술을 유도합니다.

환자의 치료기간 단축!
세포에 직접 작용하여 뼈를 빠르게 재생시킵니다.
잇몸뼈부터 튼튼하게!
뼈플란트는 세계 최초로 개발된 rhBMP-2 성장인자 기반의 프리미엄 골이식재입니다.
rhBMP-2 성장인자는 유전자 재조합 기술로 만든 단백질로, 잇몸에 주입 시 잇몸뼈를 단단하게 생성하고 빠른 치유를 도와줍니다.
이때, 줄기세포를 뼈세포로 성장시켜 잇몸뼈가 활발히 생성되도록 유도합니다.
뼈플란트는 10년 간의 다양한 임상 사례를 거쳐 40여 개의 연구 결과로 안전성과 효과를 입증했습니다.
골융합(Osseointegration) 촉진
rhBMP-2는 골 형성을 유도하는 강력한 성장 인자로, 친수성이 높은 임플란트 표면은 이를 더 효과적으로 유지 및 방출할 수 있어 골 생성이 더 빠르고 안정적으로 이루어질 가능성이 높습니다.
장기적 임플란트 안정성 증가
초기 골 접촉률(Bone-to-Implant Contact, BIC)이 증가하고, 골밀도가 높아짐에 따라 임플란트의 장기적 성공률이 향상됩니다.
초기 골 재생 속도 향상
친수성이 높은 표면은 단백질 흡착력이 증가하여 rhBMP-2의 생물학적 활성을 높이고 초기 뼈 재생을 가속화할 수 있습니다.
저용량 rhBMP-2 사용 가능성
친수성 표면은 rhBMP-2의 농도를 효과적으로 유지하여, 고용량 사용으로 인한 과도한 뼈 흡수, 염증 반응 등 부작용을 줄일 수 있습니다.


더욱 강력해진 임플란트로
초기 고정력을 단단하게!
왜 코웰메디 뼈플란트일까?


인체에
무해하고 견고한 형태를
생성하는 티타늄으로
제작되었습니다.

친수성 표면으로 주변 조직의 초기 염증
반응을 감소시키고, 세포 부착과
증식을 촉진하여 rhBMP-2의
골형성 효과를 극대화합니다.

잇몸뼈와 임플란트의 경계면에
안정적인 결합을 유도하며
임플란트 식립 부위 주변의
염증을 방지합니다.

더 넓고 깊어진 나사 모양으로
잇몸뼈의 압력을 최소화 하며
약한 골질에서도 강한 고정력을
획득할 수 있습니다.
코웰메디 뼈플란트
Recombinant Human Bone Morphogenetic Protein-2 (rhBMP-2)**와 친수성이 높은 임플란트를 함께 사용할 경우,
골유착(Osteointegration)과 골 재생(Bone Regeneration) 과정이 더욱 촉진됩니다.
두 기술의 상호작용은 각각의 특성을 보완하며 시너지 효과를 일으킵니다.


친수성 표면과
rhBMP-2의 상호작용
친수성 임플란트 표면은 높은 표면 에너지로 rhBMP-2와의 접촉면을 넓히고,
흡착력을 높여 안정적으로 상호작용하게 됩니다.
체내로 삽입 시, rhBMP-2가 주변 세포 및 조직에 쉽게 확산되고 흡착된 rhBMP-2는
서서히 방출되며, 주변 골아세포와 줄기세포에 영향을 미칩니다.

세포 부착 및 분화 유도
rhBMP-2는 골수유래 줄기세포와 골아세포 전구세포를 임플란트 표면으로 모집시키고
rhBMP-2의 신호에 의해 Runx-2(골아세포 분화의 주요 전사인자)와 SMAD 신호 경로를
활성화하여 골아세포로분화시킵니다.
친수성 표면은 이러한 세포가 임플란트에 강하게 부착하도록 돕고, ECM(세포외기질)
형성을 강화합니다.

신호 전달 경로 활성화
rhBMP-2는 Smad 경로(BMP/Smadsignaling)를 활성화하여 세포 성장과 분화를
유도합니다.
이 때, 친수성 표면은 혈액 응집 및 단백질 흡착을 통해 Integrin 경로를 활성화하여
세포 부착력을 강화시키고 두 신호 경로가 동시에 작용하여 세포 증식과 골 형성을
극대화합니다.

혈관 생성 및 조직 재생
rhBMP-2는 알칼리성 인산분해효소(ALP), 콜라겐 타입 I(COL1), 골소체 단백질
(osteocalcin, OC)과 같은 골 형성 발현을 유도하여 골기질 형성을 강화시키고 혈관 신생을
촉진하여 골 조직으로 산소와 영양 공급을 증가시킵니다.
더불어 친수성 표면은 혈소판 활성화를 통해 혈관 생성을 더 촉진합니다.

rhBMP-2와 친수성 임플란트의 조합은 임플란트 초기 안정성, 골유착 속도, 장기 성공률을 크게 높이며
특히 뼈 손실이 심한 경우나 골 형성이 어려운 환자에게 효과적입니다.
더 나은 치유와 빠른 회복을 위한 선택!
뼈플란트로 경험해보세요.
코웰메디 뼈플란트 임상 효과 논문
- 1. Analysis of hydrolysable polyethylene glycol hydrogels and deproteinized bone mineral as delivery systems for glycosylated and non-glycosylated bone morphogenetic protein-2.Acta Biomater. 2012 Jan;8(1):116-23.
- 2. Effects of rhBMP-2 Coating Tricalcium Phosphate on Socket Preservation in Dog Extraction Socket.Tissue Engineering and Regenerative Medicine, Vol. 5, No. 4~6, pp 637-642 (2008)
- 3. Effects of Polycaprolactone-Tricalcium Phosphate, Recombinant Human Bone Morphogenetic Protein-2 and Dog Mesenchymal Stem Cells on Bone Formation: Pilot Study in Dogs.Yonsei Med J 50(6): 825-831,(2009)
- 4. The induction of bone formation in rat calvarial defects and subcutaneous tissues by recombinant human BMP-2, produced in Escherichia coli.Biomaterials 31 (2010) 3512–3519
- 5. Alveolar ridge augmentation using anodized implants coated with Escherichia coli–derived recombinant human bone morphogenetic protein 2.Oral Surg Oral Med Oral Pathol Oral RadiolEndod. (2011) Jul;112(1):42-9
- 6. Bone formation of Escherichia coli expressed rhBMP-2 on absorbable collagen block in rat calvarialdefects.Oral Surg Oral Med Oral Pathol Oral RadiolEndod 2011;111:298-305
- 7. Bone formation of block and particulated biphasic calcium phosphate lyophilized with Escherichia coli–derived recombinant human bone morphogenetic protein 2 in rat calvarialdefects.Oral Surg Oral Med Oral Pathol Oral RadiolEndod 2011;112:298-306.
- 8. Induction of bone formation by Escherichia coli- expressed recombinant human bone morphogenetic protein-2 using block-type macroporous biphasic calcium phosphate in orthotopic and ectopic rat models.J Periodontal Res. (2011) Dec; 46(6):682-90.
- 9. Enhanced adipogenic differentiation and reduced collagen synthesis induced by human periodontal ligament stem cells might underlie the negative effect of recombinant human bone morphogenetic protein-2 on periodontal regeneration.J Periodontal Res (2011); 46: 193–203
- 10. The Effects of rhBMP-2 Injection at Distraction Osteogenesis of Rats’ Tibia.Tissue Engineering and Regenerative Medicine, Vol. 8, No. 2, pp 158-163 (2011).
- 11. Discontinuous Release of Bone Morphogenetic Protein-2 Loaded Within Interconnected Pores of Honeycomb-Like Polycaprolactone Scaffold Promotes Bone Healing in a Large Bone Defect of Rabbit Ulna.Tissue Eng Part A. 2011 Oct;17(19-20):2389-97.
- 12. The effect of immobilization of heparin and bone morphogenic protein-2 to bovine bone substitute on osteoblast-like cell’s function.J Adv Prosthodont 2011; 3:145-51
- 13. Multicenter, randomized clinical trial on the efficacy and safety of Escherichia coli-derived rhBMP-2 with β-Tricalcium phosphate and hydroxyapatite in human extraction sockets.J Adv Prosthodont 2011; 4:178-182
- 14. Effects of Anodized Implants Coated With Escherichia coli-Derived Recombinant Human Bone Morphogenetic Protein-2 on Osseointegration in Rabbits.Tissue Engineering and Regenerative Medicine, Vol. 8, No. 1, pp 62-68 (2011)
- 15. Novel analysis model for implant osseointegration using ectopic bone formation via the recombinant human bone morphogenetic protein-2/macroporous biphasic calcium phosphate block system in rats: a proof-of concept study.J Periodontal Implant Sci 2012; 42:136-143
- 16. Effects of anodized implants coated with Escherichia coli-derived rhBMP-2 in beagle dogs. Int.J. Oral Maxillofac. Surg. 2012; 41: 1577–1584
- 17. Bone formation of middle ear cavity using biphasic calcium phosphate lyophilized with Escherichia coli-derived recombinant human bone morphogenetic protein 2 using animal model.International Journal of Pediatric Otorhinolaryngology 77 (2013) 1430–1433
- 18. Bone formation and remodeling of three different dental implant surfaces with Escherichia coli-derived recombinant human bone morphogenetic protein 2 in a rabbit model.Int J Oral Maxillofac Implants. 2013; 28(2):424-30
- 19. Recombinant Human Bone Morphogenetic Protein-2 Stimulates the Osteogenic Potential of the Schneiderian Membrane: A Histometric Analysis in Rabbits.Tissue Eng Part A. 2013 Sep;19(17-18):1994-2004
- 20. The effect of anodized implants coated with combined rhBMP-2 and recombinant human vascular endothelial growth factors on vertical bone regeneration in the marginal portion of the peri-implant.Oral Surg Oral Med Oral Pathol Oral Radiol 2013;115:e24-e31.
- 21. Sinus augmentation using BMP-2 in a bovine hydroxyapatite/collagen carrier in dogs.J Clin Periodontol 2014; 41: 86–93.
- 22. Low-Dose Recombinant Human Bone Morphogenetic Protein-2 to Enhance the Osteogenic Potential of the Schneiderian Membrane in the Early Healing Phase: In Vitro and In Vivo Studies.J Oral Maxillofac Surg 72:1480-1494, 2014
- 23. Prospective randomized, controlled trial of sinus grafting using Escherichiacoli-produced rhBMP-2 with a biphasic calcium phosphate carrier compared to deproteinized bovine bone.Clin Oral Implants Res. 2015 Dec;26(12):1361-8.
- 24. Controlled release of BMP-2 using a heparin-conjugated carrier system reduces in vivo adipose tissue formation.J Biomed Mater Res A. 2015 Feb;103(2):545-54.
- 25. The efficacy of BMP-2 preloaded on bone substitute or hydrogel for bone regeneration at peri-implant defects in dogs.Clin Oral Implants Res. 2015 Dec;26(12):1456-65.
- 26. Effect of rhBMP-2 Immobilized Anorganic Bovine Bone Matrix on Bone Regeneration.Int. J. Mol. Sci. 2015, 16, 16034-16052.
- 27. Effects of rhBMP-2 on Sandblasted and Acid Etched Titanium Implant Surfaces on Bone Regeneration and Osseointegration: Spilt-Mouth Designed Pilot Study.Biomed Res Int. 2015; 2015:459393.
- 28. Comparison of collagen membrane and bone substitute as a carrier for rhBMP-2 in lateral onlaygraft.Clin Oral Implants Res. 2015;26(1):e13-9.
- 29. Effects of BMP-2 Delivery in Calcium Phosphate Bone Graft Materials with Different Compositions on Bone Regeneration.Materials 2016, 9, 954
- 30. Source and Carrier Effect on the Bioactivity of BMP Bio-Implants.Master of Science 2013. Sylvie Di Lullo 2013, Faculty of Dentistry, University of Toronto
- 31. Soft and hard tissue changes when socket preservation using rhBMP-2, PRP and Non-Resorbable dPTFEmembrane.Dental implant Journal: Vol. 3, May, 2014
- 32. The effect of rhBMP-2 bonegraft on infrabony defects.Dental implant Journal: Vol. 3, May, 2014
- 33. Submicron Scale-Structured Hydrophilic Titanium Surfaces Promote Early Osteogenic Gene Response for Cell Adhesion and Cell Differentiation
- 34. Effect of immobilization of the recombinant human bone morphogenetic protein 2 (rhBMP-2) on anodized implants coated with heparin for improving alveolar ridge augmentation in beagle dogs: Radiographic observations
- 35. Surface modification for rhBMP-2 coating on alkali treated titanium
- 36. Analysis of attachment, proliferation and differentiation response of human mesenchymal stem cell to various implant surfaces coated with rhBMP-2

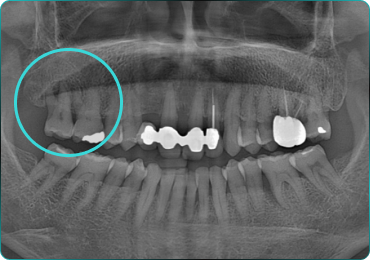
뼈와 임플란트를 한번에!
뼈플란트, 그 결과의 차이를 경험해보세요!
67세 여성

Before

After

